首页 | 问答 | 咨询 | 手机APP | 院内办公
三维立体定位让手术更精准、更安全
点击量:次    更新时间:2018-07-10

三维立体定位让手术更精准、更安全

我院神经外科开展颅内小病变精准手术

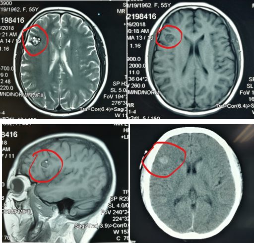
近日,我院收治一病友,因头痛检查发现右额叶运动区旁一大小约1cm病变,考虑海绵状血管瘤。

 

组图:头颅MRICT发现中央前回前脑实质内占位病变,考虑海绵状血管瘤

 

完善准备后,通过三维立体定位,找到了病变位置及其与脑沟的关系。术中发现,因患者在患病过程中病变部位曾反复出血,胶质增生及黄染,脑沟深处可见明显病灶区域(定位分毫不差)。术中显微镜下分离脑沟及血管,周围组织无损伤,精准切除病变。病人无任何功能缺失,康复出院。

颅内小病灶因其病灶相对较小、手术路径远、术中定位寻找较困难、反复探查,容易造成一定的神经损伤,增加了手术难度及相关并发症的发生率。

近年来,我院神经外科精准手术获得了快速发展,这一技术特点为颅内小病灶的手术治疗带来了明显优势。通过三维立体定位,显微镜下手术治疗颅内小病灶,病灶定位更精确,创伤更加微小,避免或减少了大脑功能区的损伤,使手术并发症显著减少,术后神经功能恢复更快,获得了满意疗效。

 

组图:较小骨窗开颅切除病变。